La apendicitis es la causa más frecuente de abdomen agudo que requiere resolución quirúrgica, siendo la historia clínica, el examen físico y los exámenes de laboratorio no siempre precisos, por lo que toma gran importancia la imagenología como apoyo diagnóstico. Es crucial para el éxito terapéutico, la pesquisa precoz de esta patología, ya que la mortalidad de una apendicitis perforada se incrementa de un 0,0002% a 3%, y la morbilidad de un 3% a un 47%

¿Por qué es importante mejorar el diagnóstico de la apendicitis?
El propósito de utilizar la tomografía computarizada (TC) en personas con sospecha de apendicitis es ayudar al médico a diferenciar entre los pacientes que necesitan cirugía con resección del apéndice (apendicectomía) y los pacientes que no necesitan este procedimiento.
La tomografía computarizada es un examen preciso que probablemente ayude a los médicos a tratar a las personas con posible apendicitis.
En Laboratorio CDI puedes realizarte TOMOGRAFÍA CONFIRMATORIA APENDICITIS
Ventajas sobre otras técnicas
Mientras que la ultrasonografía presenta una sensibilidad aproximada del 85% y una especificidad del 92%. Esta técnica no es invasiva, está ampliamente difundida, no involucra radiación ionizante, lo que es clave al momento de enfrentarse con pacientes jóvenes y embarazadas. Sin embargo este método tiene limitaciones tales como ser operador dependiente, necesitar de un nivel de experiencia y estar limitada por condiciones del paciente (dolor abdominal, meteorismo, obesidad).
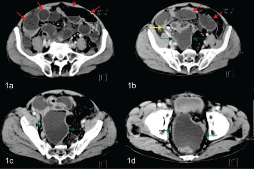
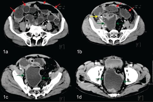
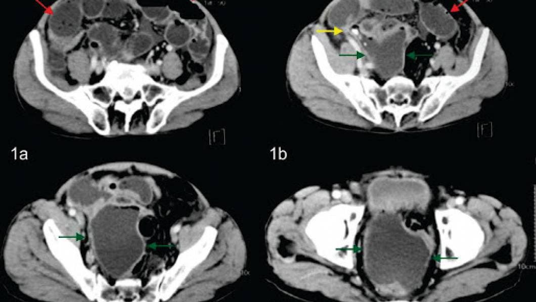
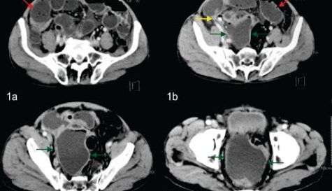
Por su parte la tomografía computada tiene una sensibilidad cercana al 98% y una especificidad que bordea el 100%, permitiendo al radiólogo confirmar este diagnóstico y poder realizar además diversos diagnósticos diferenciales.
Evidencia científica la respalda
Las innovaciones en el campo de la salud y en el diagnostico de enfermedades, han contribuido en el perfeccionamiento del trabajo multidisciplinario por parte de varios técnicos y especialistas quienes brindan atención y servicios médicos en las distintas áreas sanitarias cada vez que un paciente lo requiere.
Investigaciones documentales y científicas realizadas por los doctores Terasawa T, Blackmore CC, Bent S y Kohlwes RJ, han demostrado que a través de la tomografía computarizada, se puede realizar un diagnóstico más preciso de la apendicitis aguda, con mejores resultados que los logrados con una ecografía.
Durante el estudio académico, los doctores realizaron una revisión de artículos y opinión de expertos tanto en lengua inglesa como en diferentes lenguajes, publicados entre 1996 y diciembre de 2003. Llegaron a la conclusión que la tomografía computarizada es probablemente más segura que la ecografía para el diagnóstico de la apendicitis aguda.
En una de sus investigaciones titulada “Revisión sistemática: tomografía computada y ultrasonografía para detectar apendicitis aguda en adultos y adolescentes” los doctores concluyeron que la Tomografía Computarizada es superior que la ultrasonografía para el diagnóstico de la apendicitis aguda en los adultos y adolescentes con sospecha de esa patología.
Es así como la tomografía se ha convertido hoy en día en una de las mejores opciones al momento de acudir a un examen o estudio que permita el diagnostico de ésta y otro tipo de enfermedades.

