Cada 12 de noviembre se celebra el Día Mundial contra la Neumonía para crear conciencia sobre la gravedad de esta enfermedad, la cual es una de las primeras 20 causas de muerte a nivel mundial

Cuernavaca, MORELOS.- En México, la neumonía continúa siendo un problema importante para la salud pública, ya que afecta principalmente a menores de cinco años y adultos mayores, además de que constituye una de las primeras 20 causas de muerte a nivel mundial. 

Cada 12 de noviembre se celebra el Día Mundial contra la Neumonía para crear conciencia sobre su impacto y las medidas para prevenir esta enfermedad.

También conocida como pulmonía, la neumonía es una enfermedad aguda que provoca inflamación de los pulmones, derivado de una infección producida por hongos, virus o bacterias. 

Se presenta con mayor frecuencia durante los meses de invierno y se propaga a través de estornudos o tos, lo que provoca que los microorganismos viajen por el aire en pequeñas gotas, de la misma manera que el coronavirus.

Es de suma importancia vigilar la aparición de signos y síntomas de neumonía. 

En caso de identificarlos, es necesario solicitar atención médica inmediata y, sobre todo, no automedicarse.

¿QUÉ ES LO QUE PROVOCA?

La neumonía ocasiona que los sacos de aire, o alvéolos, de los pulmones se llenen de líquido o pus, lo que dificulta y hace dolorosa la respiración.

Los alvéolos sanos producen intercambio de oxígeno y dióxido de carbono entre el pulmón y la sangre.

FACTORES QUE AUMENTAN LA POSIBILIDAD DE CONTRAER NEUMONÍA:

En los niños 

Desnutrición, bajo peso al nacer, alimentación no exclusiva al seno materno, hacinamiento, esquema de vacunación incompleto y exposición al humo de tabaco y de leña.

En adultos 

Ser mayor de 65 años, tabaquismo, alcoholismo, padecer enfermedades crónicas, no vacunarse contra neumococo y exposición al humo de tabaco y de leña.

Más de 1.3 millones  de niños fallecen anualmente en el mundo a causa de esta enfermedad.

En México, durante el periodo 2010 a 2019 se registraron un total de 

1,485,290  casos de neumonías y  bronconeumonías.

 En el caso de la neumonía bacteriana, los síntomas pueden aparecer de forma gradual o repentina, caracterizados por escalofríos, dolor agudo en el pecho, tos con flemas, fiebre alta, sudor, dificultad respiratoria, taquicardia y, en ocasiones, desorientación por la falta de oxígeno en la sangre.

PREVENCIÓN

Vacunar a los niños contra el neumococo a los 2, 4 y 6 meses de edad, con un refuerzo entre los 12 y 15 meses. 

Las personas mayores de 65 años deben vacunarse cada 5 años.

Evitar la exposición a humo de leña y de tabaco, principalmente niños y adultos mayores.

Evitar cambios bruscos de temperatura. Lavarse las manos frecuentemente.

Cubrirse boca y nariz al estornudar o toser.

Aumentar el consumo de alimentos ricos en Vitamina “A” y “C” como naranja, guayaba, limón, limas, mandarinas, piña, jitomate, zanahoria, verduras y vegetales verdes.

Usar pañuelos desechables.

Aumentar la ingesta de líquidos.

Evitar asistir a sitios muy concurridos y sin ventilación adecuada. Abrigarse adecuadamente.

Es recomendable aplicar la vacuna contra la influenza estacional.

58.5% de los casos se concentran en los menores de cinco años y adultos de 65 y más.

70% de los casos se podría prevenir con vacunas y antibióticos que tienen un costo de menos de 50 pesos.  

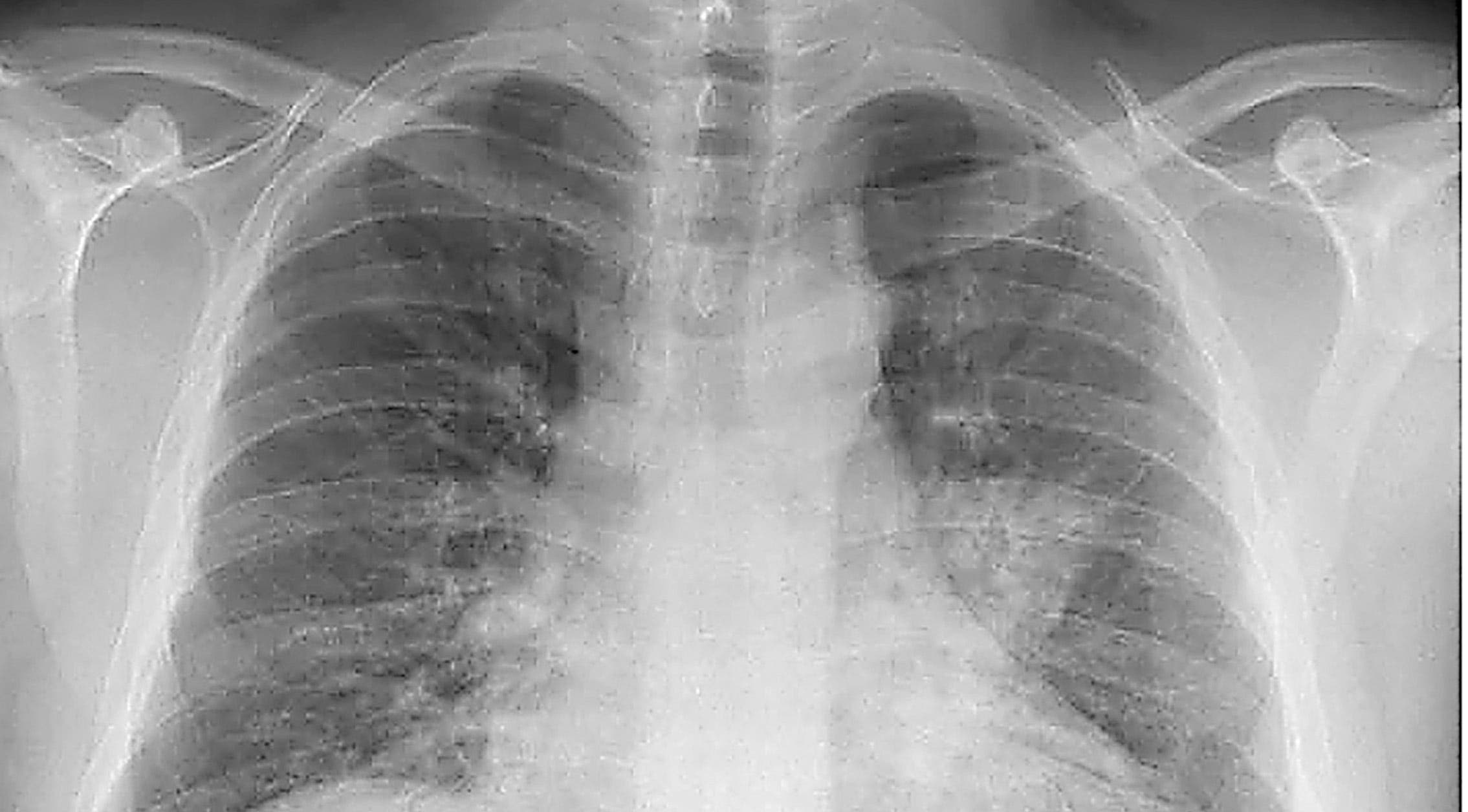
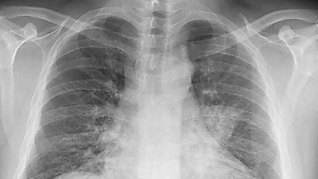
EVOLUCIÓN. Neumonía viral primaria por gripe A (H1N1) en paciente de 43 años perteneciente a grupo de riesgo. 

 

Por: Redacción Ddm / local@diariodemorelos.com

Cumple los criterios de The Trust Project

Saber más

Síguenos en Google Noticias para mantenerte siempre informado

Sigue el canal de Diario De Morelos en WhatsApp